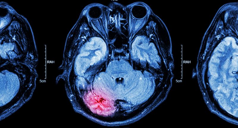
Nyrada Inc (ASX:NYR) has reported strong results from a collaborative study into traumatic brain injury at the University of Sydney, in which its lead drug candidate NYR-BI03 showed neuroprotective effectiveness.
Listen to the HotCopper podcast for in-depth discussions and insights on all the biggest headlines from throughout the week. On Spotify, Apple, and more.
Nyrada is working with the Walter Reed Army Institute of Research and the University of New South Wales on the project, which revealed that NYR-BI03 could prevent secondary brain injury following a penetrating traumatic brain injury.
This was confirmed through MRI imaging conducted at the university, which confirmed statistically significant neuroprotection (p = 0.043) for NYR-BI03.
WRAIR – a globally significant military medical research institution that is part of the
U.S. Army – provided an established penetrating TBI model involving 28 test animals,
which received continuous intravenous infusion of either NYR-BI03 or a vehicle control, over
48 hours.
Chair of the Scientific Advisory Board (SAB) and UNSW Scientia Professor Gary Housley said these results were significant. “This study provides strong evidence that Nyrada’s NYR-BI03 drug protected the brain following severe TBI.”
“This was determined using a new MRI approach for quantifying brain tissue integrity.”
More market news
Levy beef: Trump whacks Oz with 10% tariffs on “Liberation Day”
Meet GeoGeorge: The HotCopper poster so accurate he got hired as an analyst
At the same time, Nyrada is progressing NYR-BI03 – a first-in-class TRPC 3/6/7 blocker with a novel mechanism of action – through a Phase I clinical trial to assess its safety and tolerability.
Readouts are expected in the third quarter of the 2025 calendar year.
Nyrada shares have been trading at 9.3 cents.
Join the discussion: See what HotCopper users are saying about Nyrada Inc. and be part of the conversations that move the markets.
The material provided in this article is for information only and should not be treated as investment advice. Viewers are encouraged to conduct their own research and consult with a certified financial advisor before making any investment decisions. For full disclaimer information, please click here.
